Dental Up - Dr. Fowkes

CEREC CAD/CAM and Organic Reviews

Dental Up - Dr. Fowkes

| Shaun Keating CDT + Dr. Donald Fowkes DDS |

Dr. Donald Fowkes DDS joins us this week after 10 years of dental partnership and collaboration crafting over 3,500 successful restorations together with virtually no remakes. Dr. Fowkes discusses his experience with using the CEREC CAD/CAM system for creating in-house restorations and why he ended up selling this system.

Digital Dentistry

Dr. Donal Fowkes has used the CEREC CAD/CAM system designed specifically for dental practices. This system consists of multiple computer technology components and machinery including a digital scanner, design station, milling machine, and sintering. Scanning is easy with Cerec Omnicam but is bulkier than the other leady scanner brands. Computer Assisted Design (CAD) portion is done on an all-in-one computer unit that has the scanner attached. The milling unit has numerous setback that includes time consumption and the number of crowns that can be milled at once.

In conclusion, digital scanning with Cerec Omnicam scanner is efficient and precise for capturing digital impressions of the mouth. The scanner handle is a bit larger than leading brands but still usable. After 2 years of using Cerec CADCAM system, Dr. Fowkes ended up selling his whole Cerec system due to the lack of efficiency and end result quality. Since creating realistic looking teeth is much more difficult than expected, Dr. Fowkes realized he could not hand these tasks off to his assistant and get the desired results. This made the process more hands-on for Dr. Fowkes as he became his own technician. “I was finding myself using the more expensive blocks with better shading and then custom stain and glazing. I just found that I was doing a much more lab tech work than I was dentistry.”- Dr. Fowkes

Offering Affordable Dentistry

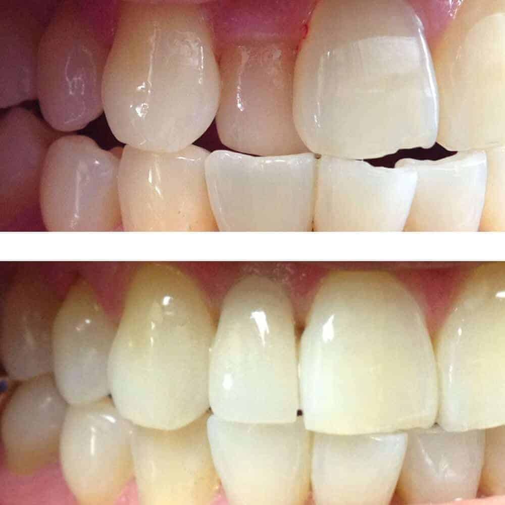
Above is a before and after case worked on with Dr. Fowkes. As you can see tooth there is significant crowding around tooth #7. Although Dr. Fowkes explained the best treatment plan would be to go see an orthodontist, the patient was limited on funds to afford this type of treatment. In the end, Dr. Fowkes prepped #7 and used a Keating-crafted veneer to bring the tooth more facial.

You may also want to watch: Using CAD/CAM Technology For Dental Restorations

Organic Online Reviews

Dr. Fowkes does not have a website nor does he own a social media account like Facebook or Yelp. Due to their outstanding experience with their passionate and caring dentist, they have created Facebook and Yelp pages. Not only did they create social media accounts, but they review and check-in regularly on his pages. He is ranked one of the top dentists on Yelp in his area. This was all done without spending a single dollar on marketing.

Dr. Fowkes Facebook Page

Dr. Fowkes Yelp Page

Dr. Fowkes and His Family

Review, Follow, and Subscribe!

If you enjoy Dental Up, leave us a review on iTunes. As well, be sure to follow Keating Dental Lab on Facebook, Instagram, and Linkedin for all the latest in dental news and insights.

Review Us On iTunes 

You May Also Like

CONTACT

Fill out the form to send us a quick message.

Fill out the form to send us a quick message, and we’ll get back to you right away!

16881 Hale Ave
Irvine, CA 92606
Main Phone: 1-800-433-9833

Request New Doctor Kit
Phone: 1-800-433-9833
Email: [email protected]

Request Shipping Supplies
Phone: 1-800-433-9833
Email: [email protected]

Founded in 2002, Keating Dental Lab is a full-service dental laboratory serving dentists and patients throughout the United States. Think of Keating as your one-stop solution, offering everything from case planning and diagnostic waxing, to full arch implant hybrid restorations. 

Secret Link

Join our mailing list and receive: Exclusive Offers, Technology Updates, Product Alerts

Have Questions? Contact us Today!

For Licensed Dentists Only.
Already A Client?

Get Your Free Keating Doctor Kit

Experience the ‘Keating Difference’

For Licensed Dentists Only.
Already A Client?