Patient Dental Repair Series #1 – Matt Biagiotti
This is the first in a series of new blog posts about my major dental repair. It will cover my story, the assistance of Keating Dental Lab, documentation of my dental procedures, and
interviews with key players.
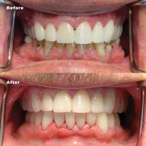
I’m 56 and I took very good care of my teeth growing up. I went to the dentist and orthodontist regularly, had braces, and had great teeth until my mid-30s. Unfortunately, due to a worsening case of alcoholism in the 2000s, I wasn’t caring for my teeth or brushing regularly. This period sidetracked my dental care and resulted in exterior decay throughout my mouth.
When I got into recovery in 2013, I resumed a dental care program and was informed that I had some serious cavity problems. In addition to the decay, my back bottom molars were cracked from panic attacks that I had years before. Over the past decade, I’ve had many fillings, one root canal, and my bottom back molars removed.
It’s been uncomfortable knowing that my teeth have been in a state of deterioration for the last 10 years, but I have accepted this as a consequence of my illness. I recognized that major decisions needed to be made to maintain a positive appearance and improve my dental health for the rest of my life.
Quite fortunately at this decisive time, I’ve had the personal opportunity to work with somebody to help them recover from alcoholism. He is in the dental industry and has amazing connections that put me in touch with Keating Dental Lab and Deep River Dentistry, located in High Point, NC.
This friend was beyond kind enough to call in some favors to have my teeth dramatically repaired.
In the coming weeks, we will be posting a series of blogs about my tooth repair. This series will describe the details from my point of view during the repair procedures. We will gain perspective from Keating Dental Lab’s leaders, lab technicians, and the dental practice doing the work.
The first blog installment will review of my initial appointments and details about the procedure.
We hope this will provide insight into patient care, modern dental lab work, and facilitation by a dental professional.

Keating Dental Lab provides attentive customer service to deliver the highest quality dental restorations delivered in a timely fashion. The company strives to provide the perfect blend of technical expertise, dependable results, and relationships based on communication and feedback. For more information, call (855) 963-4285 or visit www.keatingdentallab.com





