
![]()
On this week’s episode of The Dental-Up Podcast, we have Bob Brandon as our special guest host. Bob sat down with his father, Dr. Dale Brandon and discussed his illustrious 50 Years in clinical practice. They talked about the evolution of the dental profession over the past half-century and discussed dental materials, preparation designs, restorative processes, and his own experience with Keating Dental Lab products.
Talking points in this episode:
-Axial wall and occlusal reduction
-Why Dr. Brandon made the switch from PFMs to KDZ Bruxer™ crowns.
-His personal experience with the KDZ Bruxer Aesthetic™ crowns and e.max veneers.
-Smile line evaluation, and how to determine where to place the maxillary incisal edge.
-Dr. Brandon’s experience with the Keating Custom Abutments.

[bg_collapse view=”link” expand_text=”View Full Transcript” collapse_text=”Hide Transcript” ]
Announcer: Ladies and Gentleman, this is the Dental Up Podcast. Brought to you by Keating Dental Lab, a full service award winning dental laboratory. Each week you’ll learn tips and techniques from real world dentists. Bringing you in depth interviews, motivating stories, current events, and sports. Here’s your special host, Bob Brandon.
Bob Brandon: Welcome back Dental Up community. My name is Bob Brandon. I’m filling in for Sean today. I’m actually the lab manager at Keating Dental Lab. Today our guest is a man I’ve known my whole life. He’s a 1967 graduate of the University of Southern California School of Dentistry, who’s been in private practice most of his practicing lifetime in Hunting Beach, California. Welcome dad.
Dr. Dale Brandon: Well thank you very much. Thank you. I’m happy to do this. It sounds like it could be fun.
Bob Brandon: Yeah, thanks for helping us out. So, each week Sean interviews a wet finger dentist from around the country. Sometimes they’re existing customers. Sometimes they’re new prospects. Sometimes they’re dentist with some new, fun, unusual ways of either treating, treatment plans or they have some tips and techniques that they want to share. So today, Dental Up community, we’re going to speak with a dentist that’s been in private practice for nearly 50 years. He’s seen it all. Done it all. Seen lots of changes in the profession. We’re going to speak with Dr. Dale Brandon, and get some of his thoughts on how the profession has changed and progressed over the last half century.
Bob Brandon: So you and I were talking last week about when you graduated dental school, some of the materials or the material choices that were available. Can we kind of pick up and talk about what was available to you back in the late 60s?
Dr. Dale Brandon: Okay. Basically for fillings, we did essentially amalgams on most all posterior teeth. There were some basic new composites coming out at that time, which were very very grainy, gritty. But they were white.
Bob Brandon: Didn’t polish well?
Dr. Dale Brandon: People wanted the … Pardon?
Bob Brandon: Didn’t polish well?
Dr. Dale Brandon: No, they didn’t polish well at all. They were very, very large particle size.
Bob Brandon: Were they more abrasive?
Dr. Dale Brandon: Oh yes, much more abrasive. For the anteriors, we were fusing acrylics. We were using silicate cement. Silicate was great for anything small, because it had a very nice fluoride release. So you barely ever got re decay, but it also washed out.
Bob Brandon: Got it.
Dr. Dale Brandon: So, those were pretty much our… and we were then beginning to use composites in the anteriors, but again some of the very rudimentary composites.
Bob Brandon: When did you see a big change in the market for materials that were available that asked for more aesthetic type restorations? Either direct or indirect. When did that take place?
Dr. Dale Brandon: I would say probably in the 1980s, and what I’m thinking about is when we began changing from, well… a posterior tooth you always put a gold crown if you had to put a crown on it. To the fact that ‘well, if you really want something more aesthetic we could do a PFM for you.’
Dr. Dale Brandon: But you know, pretty much the gold was still the reigning choice for posterior teeth.
Bob Brandon: Do you remember when the first lab tech approached you about PFMs?
Dr. Dale Brandon: Actually I had done PFMs on posterior teeth, actually from the very get-go. Back in 1968. I mean, I hadn’t done many because the market was not there. It cost $50 more than a gold crown.
Bob Brandon: Now it’s quite the opposite.
Dr. Dale Brandon: Yes, it certainly is. It certainly is, but I remember when I first went into practice; the price for a gold crown was $85. That included the gold.
Bob Brandon: Oh wow.
Dr. Dale Brandon: And the price for a PFM was $135. So a lot of people thought ‘oh my gosh, that much difference oh no I’ll go with the gold crown.’ So times change, but you have to realize the value of the dollar then and the value of a dollar now.
Bob Brandon: Sure.
Dr. Dale Brandon: You know, that all goes lock step. But the fact that the gold itself has increased so dramatically, that’s what I think kind of killed the gold crowns for one thing. You couldn’t do them for what you used to do them for.
Bob Brandon: Composition and alloys, they’ve gotten better. You know, they’ve gotten better in terms of marginal seal, and malleability, and wear properties. If you look through a catalog from either Argon or Ivoclar for instance, you have so many different choices in terms of full casts and high noble, and noble restorations. The variation in gold is pretty significant.
Dr. Dale Brandon: Yeah, well that’s always going to be there I guess.
Bob Brandon: Yep.
Dr. Dale Brandon: So anyway. Then more recently of course we’ve seen the zirconia crowns come in, and Emax, and all these others so. You know, it’s an ever-changing landscape.
Bob Brandon: In your opinion, what has been the most aesthetic material in your hands for your patients?
Dr. Dale Brandon: Actually I like the zirconia base where you’ve got your keating aesthetic, which is a very nice looking crown. I like those because you’re not going to have any metal margin show anywhere. You don’t have to put them as far below the tissue, you can put them basically at tissue height and you’re not going to have any aesthetic problems.
Dr. Dale Brandon: Whereas with a PFM you still had to sink even that labial margin, that buckle margin, under the tissue because you’ve got a shadowing. Even though that was covered with porcelain, it was a very thin layer of porcelain and you always got a graying affect. So I think it’s the most aesthetic since we’ve gotten away from the metal.
Bob Brandon: Yeah, absolutely. And would you say that it’s allowed you to prepare the teeth a little bit more conservatively?
Dr. Dale Brandon: Oh, absolutely. Absolutely. Now you don’t have to go below the tissue unless it’s demanded by either decay or fracture or whatever you have. You can keep it basically there at the tissue height, and the tissue likes that a whole heck of a lot better than you going down there with a burr and sticking some foreign substance down there and leaving it.
Bob Brandon: In terms of the strength of the materials that we have available now, Emax and [inaudible 00:07:20] aesthetic. You’re still using a lot of the original version of the Brukser material which we call the Brukser High Strength, in terms of axial wall and occlusal reduction would you say your preparation style has leaned a little bit more conservatively for those types of crown preps or are you still preparing teeth the same way?
Dr. Dale Brandon: I would say I can do them a little more conservatively, I still think you have to have a certain amount of clearance everywhere. The thing I like about the Brukser crown versus a PFM is that I think I read nationally that 7 to 9 percent of PFMs will fracture. And look at this on a weekly basis. Someone comes in like ‘oh I broke something’ and they’ve fractured a piece of porcelain.
Dr. Dale Brandon: And basically I [inaudible 00:08:20]. Here’s the options. We can make a new crown, or it’s on your upper second molar and nobody sees it so we can smooth it down because your tooth is totally protected with that metal coping. But nevertheless it’s fractured. I think I’ve only had one Brukser crown fracture.
Bob Brandon: Yeah, and you’ve been doing them for the last three to for years consistently and-
Dr. Dale Brandon: At least.
Bob Brandon: I can only remember one also. So I think that’s a pretty good track record.
Dr. Dale Brandon: I think so too. I like that. I can be much more confident that we can put this in that patient’s mouth and it’s going to stay that way for a long, long time.
Bob Brandon: Yeah, and if we can continue and extrapolate on this trend I think a lot of younger dentists who are just graduating either recently or will son gradate; they’re not going to be faced with some of these issues that you’ve had to deal with over the last 50 years in terms of aesthetics and porcelain and porcelain chipping and porcelain delaminations and porcelain fractures and everything.
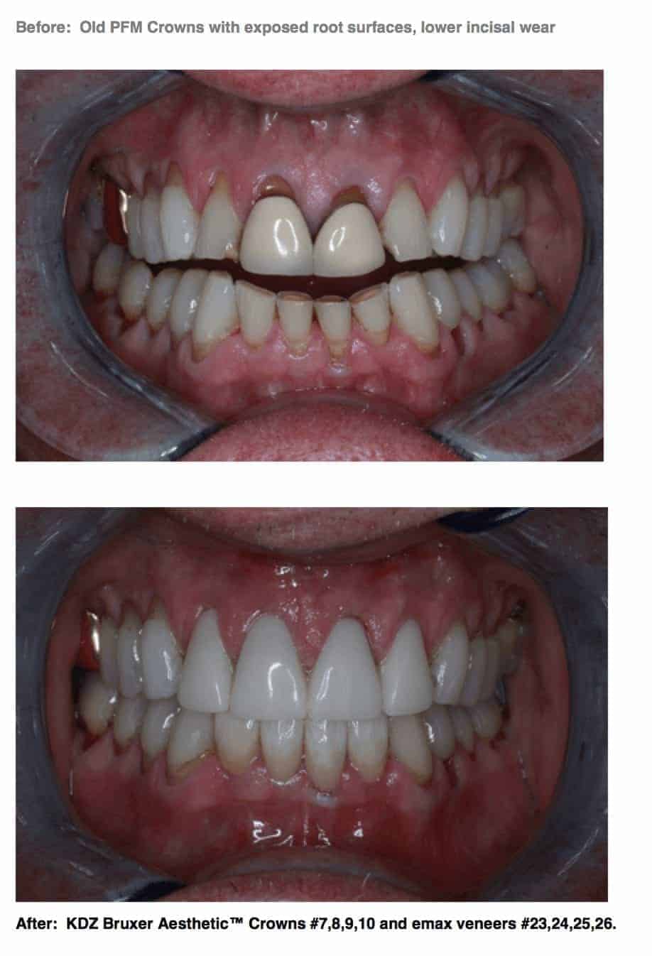
Bob Brandon: What about in terms of the KDZ Brukser aesthetic. We did that for you on 7-10. What was your experience? Tell us a little bit about how you presented, when your original crowns were made, and the overall change in aesthetics that we were able to do on your own mouth.
Dr. Dale Brandon: Okay. Now, I’ve fractured 8 and 9 when I was about 12 years old and back then they put a little temporary crown on. And then when I was 17 or so I had to have something a little more permanent, and the dentist I was going to told my parents ‘you’re in luck. I’ve got a young Dentist that just came out of the Navy and he’s doing these new things.’
Dr. Dale Brandon: It was the PFM crown. So I had these put in when I was like 16 or 17 years old and over the years 7 and 10 wore down, my lower anteriors wore down, and of course 8 and 9 did not.
Bob Brandon: They were porcelain on the linguals?
Dr. Dale Brandon: Um. I think they were. And back in those days that porcelain was very abrasive. So basically 8 and 9 wore down all of the lower anterior teeth. So it was like I had these two giant teeth right in the middle of my mouth, it was like Bucky Beaver because everything else was shorter now.
Dr. Dale Brandon: It all matched when it was put it, but the years took their toll and then when we had them all redone I think we veneered the lower anteriors first.
Bob Brandon: To build up the lower incisal plane to a nice level.
Dr. Dale Brandon: Correct. And then did the Brukser aesthetic on the 7 through 10.
Bob Brandon: Do you remember what we did when we were evaluating facial aesthetics? I remember one of the first photos we took was a relaxed smile, and we were looking at how much maxillary incisal edge should be showing.
Bob Brandon: Do you remember any of that, or was that more for us technicians?
Dr. Dale Brandon: I don’t remember it.
Bob Brandon: Okay, so we took the first photo. It was called Lips in Repose. We evaluated how much of your maxillary central incisor was showing. And what we did was we figured that we needed to move your maxillary incisal plane up 4 millimeters. Apically 4 millimeters. You were showing too much tooth, so the first step was to actually decrease clinically your tooth length of your maxillary central incisor and then build your lowers up to that level.
Bob Brandon: The material that was used on 7 through 10 was the KDZ Brukser aesthetic. Do you remember that?
Dr. Dale Brandon: Correct. Yes, yes.
Bob Brandon: Yep.
Bob Brandon: And on the lower anteriors we chose to go with Emax veneers.
Dr. Dale Brandon: Right.
Bob Brandon: And what would you say is the aesthetic outcome; the shade, the color match, the value match? Was it great? Was it acceptable? Do you want to redo it?
Dr. Dale Brandon: I think it’s great personally. I just had a patient in today who was an older patient. I mean, she’s younger than I am but-
Bob Brandon: Most of us are.
Dr. Dale Brandon: And I had not seen that face for several… probably 8 years, 10 years, and she was saying ‘oh my gosh are those your own teeth? Oh, that’s awesome. That’s why I came back here.’
Bob Brandon: Wow.
Dr. Dale Brandon: You know. ‘Because you always took good care of your teeth!’ And so forth.
Bob Brandon: Oh, that’s really cool.
Dr. Dale Brandon: Yeah, I thought so too.
Bob Brandon: What did you tell her? Were you honest with her?
Dr. Dale Brandon: Oh yeah, I said ‘my teeth have had work.’ And she said ‘oh yes, haven’t all of our teeth had work?’ That’s not the original product.
Bob Brandon: Right, right. And I think what we see here in the laboratory, and what our experience feedback was from our clinicians is that the KDZ Brukser aesthetic (even though it’s slightly weaker, it’s a weaker version of our original zirconia), the aesthetic component is really close to Emax. Now, it’s not Emax. It’s not lithium disilicate, it’s not any of these newer Emax substitutes that you’ll find on the market but it really rivals the aesthetics of the original version of the Emax. It’s actually the LT, the low translucent you can get.
Bob Brandon: We’ve seen, here in the laboratory, we’ve seen a pretty big shift in our PFM restorations and our posterior full coverage Emax. We’ve seen a shift towards this KDZ Brukser aesthetic material because of these increased aesthetic qualities.
Dr. Dale Brandon: Yeah. When you talk abour decreased strength a little bit over the actual Brukser crown, on the anterior you’re not going to need all that strength that you’re going to need on a posterior. Unless the person gets hit int he face with a hammer, then the restoration is the least of their worries.
Bob Brandon: Sure. Absolutely, yeah. So you’ve also started to utilize some of our newer implant products, our Keating Custom Abutments. And formerly you would use a lot of the Atlantis Abutments, what’s been your experience with the Keating Custom Abutments? I think we’re now up to 5 or 6 cases.
Dr. Dale Brandon: At least that number.
Dr. Dale Brandon: I’ve had very good luck with them. Honestly I don’t see a lot of difference between the Atlantis and the Keating ones. They’ve worked fine. They work great!
Bob Brandon: So clinically in terms of seating the abutments, would you say that the accuracy of the connection the same as in an Atlantis Abutment? Clinically?
Dr. Dale Brandon: It’s been easier to seat on most cases. One case I had just a heck of a time getting the impression in. It was on a lower second molar on a very elderly patient. I thought ‘oh my lord what’s it going to be like when we now have to put the abutment in there and get it right.’
Dr. Dale Brandon: [inaudible 00:16:44] snapped, and my eyes opened and I went ‘are you kidding me, well isn’t this nice.’
Bob Brandon: Yeah, that was a good surprise.
Dr. Dale Brandon: Let’s get this puppy down and we’re good to go.
Bob Brandon: Let’s kind of go back and look at some of the technological advances that have taken place over your practicing lifetime. What’s the single biggest advancement that’s taken place over your career.
Dr. Dale Brandon: I would say the materials. Otherwise I would say I don’t use a lot of high tech things in the offices, you know. Being 76 years old, I’m very happy with the way things have worked for a long time.
Bob Brandon: Well, there’s something to be said for consistency. That’s good.
Dr. Dale Brandon: Yes, there is. You know, the tried and the true. SO I don’t use a lot of computerized kinds of things in the operatory. I know that these are the things that have been the latest changes in the last 10-15 years at leas. But I don’t use a lot of those, so it’s difficult for me to give an opinion on that stuff.
Bob Brandon: No problem. Fair enough, that’s a good honest answer. You mentioned materials, so are you talking direct materials that you’re using chair-side or indirect that your laboratory is able to provide for you? Or both?
Dr. Dale Brandon: Well, both really. The things we use every day are the direct materials. I think some of the composites are really changing dramatically to where they bond better, where they have fluoride releases in them, these things I think are great. One of the original problems with Composites was re decay, particularly on class twos. I think now with these fluoride releasing bases, with the fluoride releasing materials, with the fluoride releasing cements that we’re now using as far as bonding the crowns on; I think these are all great things where you’re going to have far far fewer recurrent problems in the future.
Bob Brandon: Yeah, definitely. Let’s hope so. Nobody likes to redo things. We contact customers all the time when we get a remake and I would say probably 10-15% of the time we’re contacting a doctor and saying ‘oh what’s the reason we’re redoing this crown’ and literally 10-15% of the time it’s unfortunate, it’s something that’s a part of this field, we get the answer; recurrent decay.
Bob Brandon: So they’re cutting of a restoration and removing the decay that may have developed in the last 2-3 years after the crown was delivered and it’s very unfortunate that we’ve had to put that patient through two more procedures; taking a crown off isn’t very easy especially with these stronger materials.
Dr. Dale Brandon: Amen on that one, yeah. And it’s unfortunate also, because it reduces the confidence that the patient has in both the practitioner and the field of dentistry itself.
Bob Brandon: Yeah.
Dr. Dale Brandon: It’s like ‘wait a minute, I just had this done a couple years ago and now it’s got to be redone?’ We would like to say hey, and put something in that’s there for 15 or 20 years at least. I mean, I see crowns I’ve put in 45 and 50 years ago that are still there. I say ‘well I think you’ve got your money out of them.’
Bob Brandon: Absolutely. The only thing’s that wrong with them is probably that the color is too bright because the rest of the dentition has darkened.
Dr. Dale Brandon: That’s very true. That’s very true. But you know, That’s what you tell a person. ‘Well, you know. Look, the crown didn’t change. This is just you who changed over the years.’ Most people say ‘yes, I look in the mirror and I know I’ve changed over the years.’
Bob Brandon: So tell us a little bit about your practice. I know a lot about it but tell our audience. Where you’re located, the building, and how close you are to the ocean. Tell us about your patients and the demographics of your patients.
Dr. Dale Brandon: Okay. We are as you just mentioned, in Huntington Beach, and my first office was about three blocks from the ocean. That was perfect. I could take my sack lunch down there at lunch time and admire all the wonderful looking people there on the beach.
Bob Brandon: That weren’t working?
Dr. Dale Brandon: Well, yes, that weren’t working. So that was great, and then we moved after about eight years. We needed a larger office so we moved up to a brand new shopping center they were building. And so we got a much bigger office. We went from three to four operatories, all the ops were bigger and decorated very nicely and uniquely.
Dr. Dale Brandon: And then that shopping center got sold, and so after 23 years we had to move again. So now we’re in a medical demo building that’s about a mile from where that second office was. We have moved, we’ve stayed within about five miles of the original location. Probably closer than that.
Dr. Dale Brandon: When I started, Huntington Beach was a tiny town. Now of course it’s surf city, and well known everywhere. Very crowded and very big. Some of these patients I’ve had for about 50 years, and I’ve had 3 generations of so many patients and the families. And I think that’s really nice. That’s the thing that, to me, makes the profession worthwhile. And I’ll throw a little opinion in here where I’m afraid that the profession is changing that way, and I’m sorry that it is. I understand the why’s. I think it’s unfortunate for the new graduates, because they’re not going to have this relationship with people that those of us old timers have had.
Dr. Dale Brandon: In fact many times-
Bob Brandon: Without saying it directly, I’ll say it for you; are you speaking about the influence of corporate dentistry?
Dr. Dale Brandon: That’s exactly what I mean.
Bob Brandon: Okay
Dr. Dale Brandon: Yes. Basically, I had a patient in today (I think it was the one I was talking about that had the new teeth, the one talking about my new teeth), she said she’d been going to some place (actually it was a different patient) because of her insurance. And they said ‘we’ve got to replace all these fillings up here, and we’ve got to to this and I think you’ve got a cracked tooth down here’ well, she had a big amalgam in her lower bicuspid but there was no sensitivity. No sign of a crack or anything like that. ‘Oh yeah, well you’ve got to crown that. Probably going to need a root canal first so we’ll send it to our root canal guy.’ And she said that everybody had their hand out for money.
Bob Brandon: Versus if she’s… and if she’s in your office that large amalgam with the potential crack, that’s just something that you monitor every 3 to 6 months and if it gets worse then you tell her ‘Okay Mrs Jones, this is where we are now. We discussed this several years ago.’
Dr. Dale Brandon: Exactly! And you tell her ‘well, if you begin to have any sensitivity we have a little bite instrument here, put pressure on each cusp.’ No, there was no sensitivity anywhere. And she said ‘that’s why I came back here. I trust your opinion.’
Dr. Dale Brandon: And I think that’s a thing that’s so important. It’s important to me anyway. That these people trust me, that they like me and I like them. A lot of people say ‘Dr Brandon when are you going to retire?’ I say ‘I could retire from doing these procedures any time, I’ve done every procedure 10,000 times but what I have trouble backing away from is the personal relationships. So when I do retire don’t be surprised if you walk into the reception room for an appointment with a new dentist and I’m sitting there. I’m just here to visit!’
Bob Brandon: I can see that too, yeah. It speaks volumes about the human element of the profession. There’s very few jobs in this world where you’re that close, up in somebody’s face that is still awake and is functioning and having to follow instructions and things like that.
Bob Brandon: Yeah, it is a people profession. That’s for sure.
Dr. Dale Brandon: Absolutely. And that’s one of the things when I have young students who will come in and say ‘well I’m thinking of becoming a dentist’ and I say ‘oh that’s great, it’s a great profession!’ And I say why? And they say ‘I’m very good with my hands.’
Dr. Dale Brandon: And I don’t care about that. ‘Well, I’m very good in math and science.’ I don’t care about that. I say ‘DO you like people? You’re going to be working face to face, within probably 6 inches of somebody’s face. If you don’t like working with people then I would strongly suggest you choose something different. But if you like working with people it’s a wonderful profession to be in.’
Bob Brandon: Yeah, I mean those other skills are absolutely necessary but the way you interact and the way you care for people is certainly paramount. I think it’s part of the hippocratic oath that you have to take to graduate. So-
Dr. Dale Brandon: Well, let me interject one thing here too. I remember when I was a senior in dental school, and we were being primed to go out into the world and I remember one of our teachers or the Dean saying ‘Now look, you’re going into a profession. And a profession is charged with doing what is best for the individual you’re dealing with.’ In other words you’re charged with doing the proper thing for your patient. Not always the best thing for you. In other words, you should be treating the patient’s mouth, not your wallet.
Bob Brandon: Yeah definitely-
Dr. Dale Brandon: That was the essence of what they were telling us. And I think it’s good advice. I understand that sometimes that’s not the situation for one reason or another. Nevertheless, I think those are kind of words to live by.
Bob Brandon: Yeah, that person if you’re able to save them money or offer them good advice they’re much more likely to be a patient for life versus going elsewhere.
Dr. Dale Brandon: Right, right.
Bob Brandon: So, you mentioned a couple minutes ago about how you have some younger patients in your practice that are interested in Dentistry. What made you want to go into Dentistry?
Dr. Dale Brandon: Excellent question, and I’ll draw you an analogy here.
Dr. Dale Brandon: When you meet, for no apparent reason, you meet that person that you’re going to spend the rest of your life with there’s no reason that you are there. There’s no reason that he or she was there. It just happened to be. Well, when I was in high school I was a relatively intelligent young man. Number two in my class. So they figured this kid knows what he wants to do.
Dr. Dale Brandon: Well, I wanted to be either a minister or a teacher because I liked to talk.
Bob Brandon: I thought you said pharmacist.
Dr. Dale Brandon: Well, that comes later. That comes when I was in high school, because I worked in a pharmacy and I thought it would be fun to be a pharmacist. That was great, I liked it. It was a great store. My father wanted me to be an engineer, so I really didn’t want to do that.
Dr. Dale Brandon: High school counselor called me in and said ‘Dale, you’re relatively intelligent; what do you want to be?’ And I said ‘You know, I don’t really know.’
Dr. Dale Brandon: She said ‘Well, think about it and come back. We’ll talk in a couple of weeks.’ Okay. So I di, and still didn’t have an answer for her. She said ‘okay, couple weeks more.’ I came back in, no. She finally said ‘You know, my husband is dentist and he really enjoys it. Go to the library and look up dentistry.
Dr. Dale Brandon: Well, I didn’t go to the library and look up Dentistry-
Bob Brandon: Of course not.
Dr. Dale Brandon: ‘Why would I do a dumb thing like that?’ You know?
Dr. Dale Brandon: And so I’m a 16 or 17 year old kid. So, I was getting tired of talking to this counselor, so I went back in and she said ‘did you look up dentistry?’
Dr. Dale Brandon: ‘Oh, yes I did.’
Dr. Dale Brandon: ‘So what do you think?’
Dr. Dale Brandon: I said ‘That sounds great, put me down as a pre-dental major.’ And that’s the way it went.
Bob Brandon: Wow. It all happened because you were too lazy to go to the library.
Dr. Dale Brandon: Yeah pretty much. Yeah.
Bob Brandon: Great, great. But it’s been a great career though.
Dr. Dale Brandon: Like I said, it’s one of those things that happens for no planning reason. It just happens and it happened very fortuitously.
Bob Brandon: Sure.
Dr. Dale Brandon: And then I remember when I went for my interview at USC, the Dean of Admissions asked ‘well, where have you sent in applications for dental schools?’
Dr. Dale Brandon: I said ‘nowhere.’
Dr. Dale Brandon: He said ‘nowhere?’ And I said ‘no, nowhere else.’
Dr. Dale Brandon: He says ‘aren’t you putting your eggs in one basket?’
Dr. Dale Brandon: I said ‘yeah, probably so but I’ve got the application for pharmacy school on my desk at home. I really think I’d enjoy pharmacy.’
Bob Brandon: Oh man, you said that to the Dean of USC during your interview?
Dr. Dale Brandon: Yeah. So you know, I think Doctor Rutherford thought ‘well, we take him now or we lose our shot at him.’ So you know.
Bob Brandon: Yeah, no kidding. Jeez.
Dr. Dale Brandon: Most people send half a dozen different schools, but I didn’t. So a lot of things just happened because of luck, I guess. You know I don’t think you should ever bank on luck, but every once in a while it works out.
Bob Brandon: Yeah, wow. Do you have anything else you want to add before we sign off?
Dr. Dale Brandon: I think a little advice for the new dentists coming out and entering the profession. We’ve already taught the ‘treat the needs of the patient, not particularly your own’ because if you treat the needs of the patient eventually your own needs are treated.
Dr. Dale Brandon: If you give them good advice now, they’ll continue to come back. That’s going to smooth your whole life. Enjoy your life. Enjoy your work. Confucius said ‘if you enjoy your work you’ll never work a day in your life.’
Dr. Dale Brandon: That’s the way I have felt about my profession. The other thing I think that our profession has allowed and does allow a certain amount of flexibility where you can spend time with your family and your kids. You know that I spent a lot of time with you guys. You know, coaching. If I were locked into a 8-5, 5 to 6 day a week job I wouldn’t have that opportunity. So I think that our profession really allows that flexibility.
Dr. Dale Brandon: The other thing, and this is really something that I try to live by, is that ‘remember that at the end of the day there’s only one face that stares back at you in the mirror. You’ve got to be able to look that face in the eye and say that you did well today.’ And that means you treated people fairly, you treated people to the best of your ability, and you did what you felt was right.
Dr. Dale Brandon: So I think that these are the little things that I would try to pass on to the younger graduates coming out of school.
Bob Brandon: Let me tell you this, you’ve passed that along to your children very thoroughly. I think Greg, Stacey, and I have always admired your work ethic and your integrity. Probably without ever telling you that. We’ve always admired how hard you worked, and how you always were there for us doing everything. Coaching, helping with homework, helping with school, giving us advice whenever we needed it. We couldn’t have had a better role model than both you and Mom so thank you.
Dr. Dale Brandon: Thank you for passing that along.
Bob Brandon: I hope our audience has learned a thing or two from a very seasoned 50 year practitioner. Thank you for your time, and have a great afternoon. I will talk to you soon.
Dr. Dale Brandon: Okay, thank you very much. And I hope that some of this advice has helped some of those listeners.
Bob Brandon: Great, thanks dad.
Dr. Dale Brandon: Okay. You’re welcome. Bye.
Announcer: Thanks for joining us on the Dental Up Podcast this week. Make sure to follow us on Facebook, Instagram, and Twitter, or search the Dental Up podcast on iTunes for our weekly feed. Don’t forget to visit keatingdentallab.com/promo for exclusive offers. Keating Dental Lab is a full service dental laboratory and we’re nation wide. We’d love for you to send us a case so we can show you the Keating difference. If you dig what you heard, please leave a review on iTunes, and we’ll be back next week.
[/bg_collapse]



